Valgus Extension Overload

- Valgus extension overload is a condition characterized by posteromedial elbow pain related to repetitive microtrauma in throwing athletes
- Repetitive stress through the throwing motion leads to excessive shear forces on the medial aspect of the olecranon tip/olecranon fossa and lateral compressive forces which can lead to:
- Cartilage loss across the olecranon or olecranon fossa
- Osteochondral lesions of the capitellum
- Posteromedial osteophytes with loose bodies
- UCL attenuation

SYMPTOMS
- Athletes typically present with posteromedial elbow pain in full elbow extension
- Most common in the deceleration/follow-through phase of throwing
- Physical exam may have crepitus secondary to loose bodies, pain with “arm bar test” (forced elbow extension) or “bounce test” (repetitive terminal elbow extension)
- Throwers may have loss of terminal extension and tenderness over the posteromedial olecranon
- Athletes who have “fractured” through a posterior osteophyte may present with an acutely swollen, painful elbow and limited range of motion
Dr. Nelson performing “arm bar test” and “bounce test” for posterior elbow pain
DIAGNOSIS:
- Radiographs frequently demonstrate osteophyte formation in the posteromedial olecranon
- CT scan is best for identifying loose bodies and osteophytes for surgical planning
- MRI is useful to rule out associated injuries such as UCL tears

X-ray demonstrating Osteophytes within the olecranon fossa




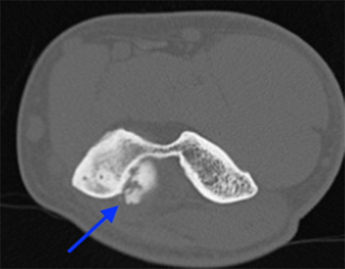
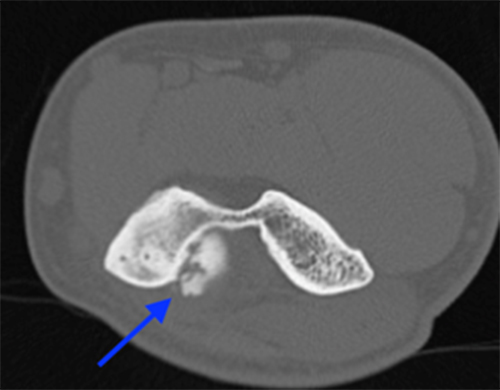
CT scan demonstrates posteromedial osteophytes within the olecranon fossa
TREATMENT:
NON-SURGICAL
- First-time symptomatic patients or athletes mid-season may benefit from a period of rest and anti-inflammatories with gradual return to throwing while focusing on proper throwing mechanics. Occasionally steroid injections can be a useful adjunct.
SURGICAL
- '
- Arthroscopic resection of osteophytes and removal of loose bodies is indicated for throwing athletes who have failed to improve or have ongoing mechanical symptoms
- Care must be taken to only remove posteromedial osteophytes and avoid over-resection as this can lead to increased stress on the ulnar collateral ligament resulting in valgus instability




